....

Novudentics Prosthodontist Photo Gallery

Smile Transformations

Real results from advanced prosthodontic care in Royal Palm Beach

For Patients

View smile makeovers, before & after photos, and real patient results.

View Smile Gallery

For Referring Dentists

Explore complex prosthodontic cases, full-mouth reconstructions, and detailed clinical documentation.

View Clinical Cases

Smile Makeovers

Complete smile transformations

Before smile makeover at Novudentics After smile makeover at Novudentics

Complete smile restoration with porcelain veneers

Before acid erosion rehabilitation at Novudentics After acid erosion rehabilitation at Novudentics

Rehabilitation of acid erosion with esthetic porcelain restorations

Dental Implants

Single tooth to full arch restorations

Before full arch dental implants at Novudentics Palm Beach After full arch dental implants with hybrid prosthesis at Novudentics

Full arch dental implants with fixed hybrid prosthesis

Interested in Similar Results?

Schedule a consultation with Dr. Kallithrakas to discuss your smile transformation.

Call (561) 567-7880 Book Online

Some cases require an advanced level of prosthodontic training and precision. For dentists and complex cases, explore our clinical portfolio below.

View Clinical Cases

Clinical Case Gallery

For Referring Dentists & Complex Case Review

Dental Prosthesis Before and After Pictures

Edentulous patient: upper and lower on all 4 types of prostheses. Notice the differences in appearance.

all on four dental implants
all on four implants
implants for an all on 4

Patient with failing dentures received upper and lower on all 4 types of prostheses. Even an untrained eye can see a large difference in the before and after photos here.

Dental Crowns Before and After Photos

Extensive dental decay can be seen in this patient. This is a preparation of the teeth for dental crowns we offer.

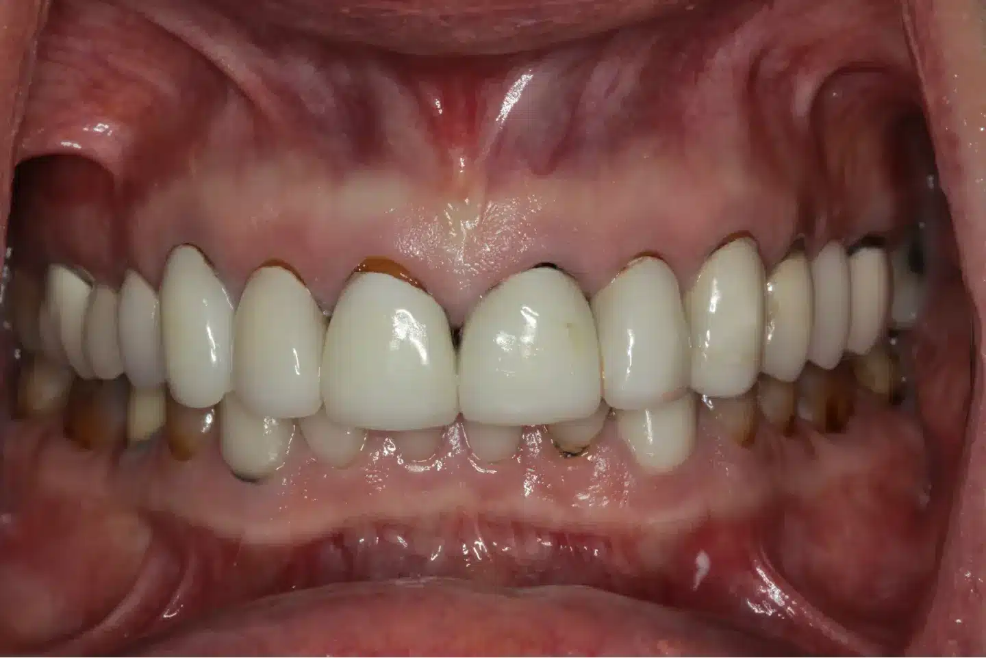
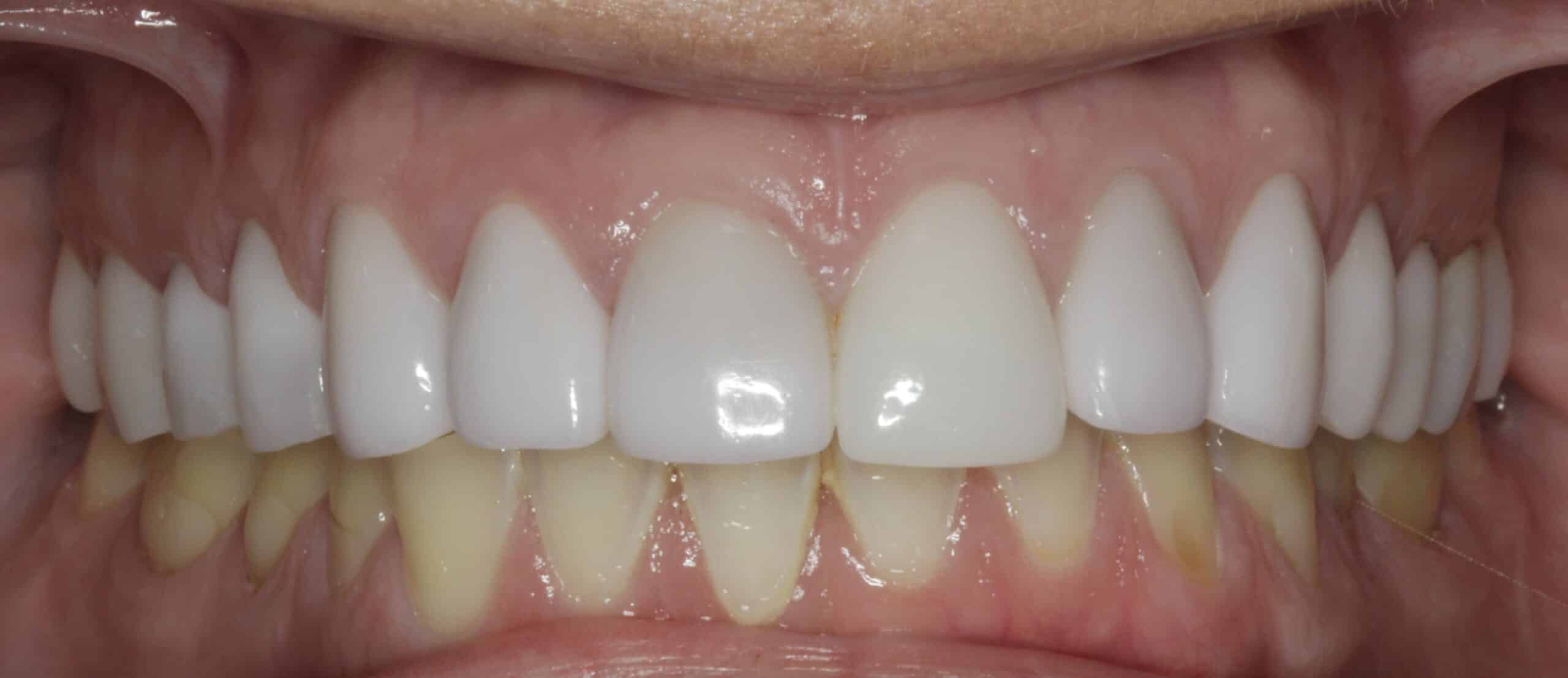
Full Mouth Reconstruction Before and After Photos

Failing dentition due to vertical maxillary excess and extensive decay. Patient received a full mouth reconstruction, combining teeth and implant restorations.

stained teeth

Full mouth rehabilitation in patient with high smile line. This was done via a fixed maxillary detachable prosthesis (aka hybrid) over implants and 3 lower segmented prostheses over implants and teeth.

Full mouth reconstruction 1
Full mouth reconstruction
Full mouth reconstruction 3
Full mouth reconstruction 4
Full mouth reconstruction 5
Full mouth reconstruction 6
Full mouth reconstruction 7
Full mouth reconstruction 9
Full mouth reconstruction 0

Patient presented with severe wear and extensive decay. Dental crowns were used to replace the missing and decayed tooth structure.

Esthetic crown lengthening procedure was conducted to enhance the look and feel of the patient's smile.

Maxillary Obturator for patient that presented with a partial missing palate. This is a rare case, and the patient was very pleased with the outcome.

maxillary-obturator-1
maxillary-obturator-2
mouth-palate-mold
maxillary-obturator-implant
maxillary-obturator-implant-in-mouth
maxillary-obturator-finished

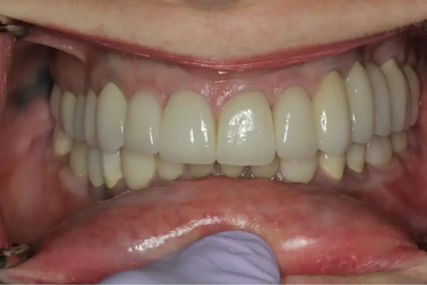
Upper and Lower Implant Rehabilitation in Edentulous Patient

Special thimble design used in the maxilla to to achieve excellent esthetics and provide strength.

patient smile after implant
smiling patient after dental implant surgery
smile-after-implant-reconstruction
upper and lower implant rehabilitation front teeth
upper and lower implant rehabilitation front teeth zoomed out
upper all on 4 implant
upper all on 4 implant in place
upper dental implant on black table top view
lower dental implant on black table top view

Upper and Lower Removable Overdentures

Received upper and lower removable overdentures for an edentulous patient.

all on four before
all on four dental surgery
all on four dental bracket in mouth
hybrid dentures for all on four
dental molds
all on four after photo

Tooth Extraction Before and After Pictures

Fractured tooth was deemed non-restorable. We extracted the molar and placed an implant.

Dental Implants Before and After Photos

Dental Implants Restoration

Dental implant reconstruction

xray-before-mouth-reconstruction
mouth-reconstruction-before
xray-before-implant-reconstruction
smile-after-implant-reconstruction

Dental Implants Restoration

Partial edentulous patient treated with dental implant restorations.

before dental implants
upper mouth before dental implants
dental implant restoration procedure
custom dental implants
fitting dental implants
restored implants in mouth
smiling after dental implants

Anterior Tooth #9 Dental Implant

In this case, we replaced anterior tooth #9 which fractured at the gum level. This required a dental implant. Most dentists will not undertake such a complicated task. At Novudentics, we always find an effective approach.

Anterior Restorations

Presented with a highly esthetic patient with uneven teeth and fractured crown. Tooth #8 was fractured and had to be removed and replaced with implant. tooth #9 was prepared for veneer.

implant-after-2
implant-before-2
implant-before
implant-after-3

Implant for Missing Molar

This patient presented us a case of a missing molar tooth. The molar was missing for quite some time. We used a dental implant to replace this missing tooth.

Edentulous patient restored with conventional upper denture and lower fixed hybrid prosthesis.

before-dentail-prothesis-1
before-dentail-prothesis-2
before-dentail-prothesis-3
before-dentail-prothesis-4
after-dental-prosthesis
after-dental-prosthesis-2
after-dental-prosthesis-3
after-dental-prosthesis-4

Failing upper and lower dentition required fixing implant prostheses. This patient was particularly happen with the results, and you can see why.

Lower anterior fixed partial dentures to replace misaligned and periodontally involved teeth

before fixed partial dentures 1
before fixed partial dentures 2
after fixed partial dentures 1

Failing maxillary dentition that was treated with 5 dental implants for fixed prosthesis.

Partner with Novudentics

Dr. Kallithrakas welcomes referrals for complex prosthodontic cases. Comprehensive documentation and seamless communication for collaborative patient care.

Ready for Your Smile Transformation?

Dr. Kallithrakas and the Novudentics team are ready to help you achieve the smile you've always wanted.

Call (561) 567-7880 Book Online

Welcome to Novudentics Prosthodontics, your premier destination for seeing prosthodontist before and after transformation photos. As experienced prosthodontists practicing in Royal Palm Beach, Florida, we specialize in full mouth restorations and creating natural-looking smiles. Our photo gallery features stunning before and after photos of real patients who have undergone prosthodontic procedures such as dental implants, crowns, veneers, dentures, and bridges.

These prosthodontist before and after photos showcase our commitment to helping patients achieve healthy, confident smiles they can be proud of. With advanced techniques and a meticulous eye for detail, we combine cosmetic dentistry with reconstructive care to get remarkable, life-changing improvements. Browse our before and after pictures to see the incredible smile makeovers we provide. Contact us today at 561-567-7880 to learn more about how our prosthodontists can give you the smile you’ve always wanted.

Teeth Whitening and Restoration

Severe wear patient in the form chemical erosion due to nervous bulimia.

teeth-restoration-from-bullemia
chemical-cleaning-on-teeth-from-bullemia
bullemia-teeth-cleaning
after-bullemia-teeth-cleaning
bullemia-teeth-stains-removed
teeth-cleaning-and-whitening
teeth-whitening-from-stains

At Novudentics, we believe that in-house laser initiated teeth whitening is the only way to go.

teeth-whitening-procedure
teeth-whitening-procedure-2
teeth-whitening-procedure-3
teeth-whitening-procedure-4
teeth-whitening-procedure-5
Scroll to Top